잇몸 내려앉음은 많은 사람들이 겪는 문제 중 하나입니다. 이 현상은 잇몸이 치아에서 멀어지면서 내려앉는 것을 의미하며, 여러 가지 원인으로 발생할 수 있습니다. 이번 포스팅에서는 잇몸 내려앉음의 정의부터 원인, 증상, 진단 방법, 치료 방법, 예방 방법, 그리고 정기적인 치과 검진의 중요성에 대해 자세히 알아보겠습니다.

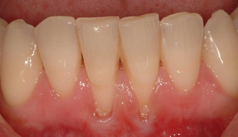
잇몸 내려앉음(퇴축)이란?
잇몸 내려앉음은 치아를 둘러싸고 있는 잇몸 조직이 치아에서 멀어지면서 내려가는 현상입니다. 이로 인해 치아의 뿌리가 노출되며, 이는 다양한 치아 문제를 유발할 수 있습니다. 잇몸 내려앉음은 단순한 미용 문제를 넘어서, 치아의 건강에도 큰 영향을 미칠 수 있습니다.
잇몸 내려앉음의 원인
잇몸 내려앉음의 원인은 다양합니다. 가장 흔한 원인은 치주 질환입니다. 치주 질환은 잇몸에 염증이 생기고, 이로 인해 잇몸이 약해지면서 내려앉게 됩니다. 또한, 잘못된 양치 습관이나 이쑤시개 사용, 흡연, 유전적 요인 등도 잇몸 내려앉음의 원인이 될 수 있습니다.

잇몸 내려앉음의 증상
잇몸 내려앉음의 증상은 다음과 같습니다. 첫째, 잇몸이 붓거나 피가 나는 경우가 많습니다. 둘째, 치아가 길어 보이는 느낌이 들 수 있습니다. 셋째, 찬 음식을 먹을 때 이가 시리거나 통증이 느껴질 수 있습니다. 이러한 증상이 나타나면 즉시 치과를 방문하는 것이 중요합니다.

잇몸 내려앉음의 진단 방법
잇몸 내려앉음은 치과에서의 정밀 검사를 통해 진단됩니다. 치과 의사는 잇몸의 상태를 확인하고, 필요시 X-ray 촬영을 통해 잇몸 뼈의 상태를 평가합니다. 이를 통해 잇몸 내려앉음의 정도와 원인을 파악할 수 있습니다.
잇몸 내려앉음의 치료 방법
잇몸 내려앉음의 치료 방법은 원인에 따라 다릅니다. 초기 단계에서는 올바른 양치 습관을 기르고, 치석 제거를 통해 잇몸 건강을 회복할 수 있습니다. 심한 경우에는 잇몸 수술이 필요할 수 있으며, 이 경우 전문의와 상담하여 적절한 치료 방법을 결정해야 합니다.

예방 방법
잇몸 내려앉음을 예방하기 위해서는 올바른 구강 위생 관리가 필수적입니다. 정기적으로 양치질을 하고, 치실을 사용하여 치아 사이의 음식물 찌꺼기를 제거해야 합니다. 또한, 정기적인 치과 검진을 통해 잇몸 건강을 체크하는 것이 중요합니다.
정기적인 치과 검진의 중요성
정기적인 치과 검진은 잇몸 내려앉음을 예방하는 데 큰 도움이 됩니다. 치과 의사는 잇몸의 상태를 정기적으로 확인하고, 필요한 경우 조기 치료를 통해 문제를 예방할 수 있습니다. 따라서, 최소한 6개월에 한 번은 치과를 방문하여 검진을 받는 것이 좋습니다.

잇몸 내려앉음은 간과하기 쉬운 문제지만, 방치할 경우 심각한 치아 문제로 이어질 수 있습니다. 따라서, 올바른 구강 관리와 정기적인 치과 검진을 통해 건강한 잇몸을 유지하는 것이 중요합니다.
태그
#잇몸내려앉음 #치주질환 #구강위생 #치과검진 #잇몸건강 #치아건강 #예방치료
이런 자료를 참고 했어요.
[1] NAVER - 잇몸 내려앉음 잇몸 퇴축 현상이 나타나는 원인과 치료법은? (https://blog.naver.com/myden0/221248502832)
[2] 네이버 블로그 - 잇몸내려앉음 원인과 예방법, 치료법 알아보기 - 네이버 블로그 (https://m.blog.naver.com/theopendent/222022285732)
[3] 브런치스토리 - 잇몸내려앉음 방치하면 이가 흔들리고 빠질 수 있습니다! (https://brunch.co.kr/@2275dain/152)
[4] 덴클 - [치애기획] 잇몸 내려앉음! 원인과 늦추는 방법은? (https://dencle.com/article/%EC%B9%98%EC%95%A0%EA%B8%B0%ED%9A%8D/8/7738/)